Rabu, 22 April 2020

Download Histopathology And Cytopathology Of The Uterine Cervix Digital Atlas - Pdf Free

Histopathology compound of three greek words. A aa aaa aaaa aaacn aaah aaai aaas aab aabb aac aacc aace aachen aacom aacs aacsb aad aadvantage aae aaf aafp aag aah aai aaj aal aalborg aalib aaliyah aall aalto aam.

Pathology Conferences 2020 Laboratory Medicine Conferences - Pathology Conferences 2020 Laboratory Medicine Conferences

Edited by ferlay j soerjomataram i ervik m dikshit r eser s mathers c rebelo m parkin dm forman d bray f.

Histopathology and cytopathology of the uterine cervix digital atlas

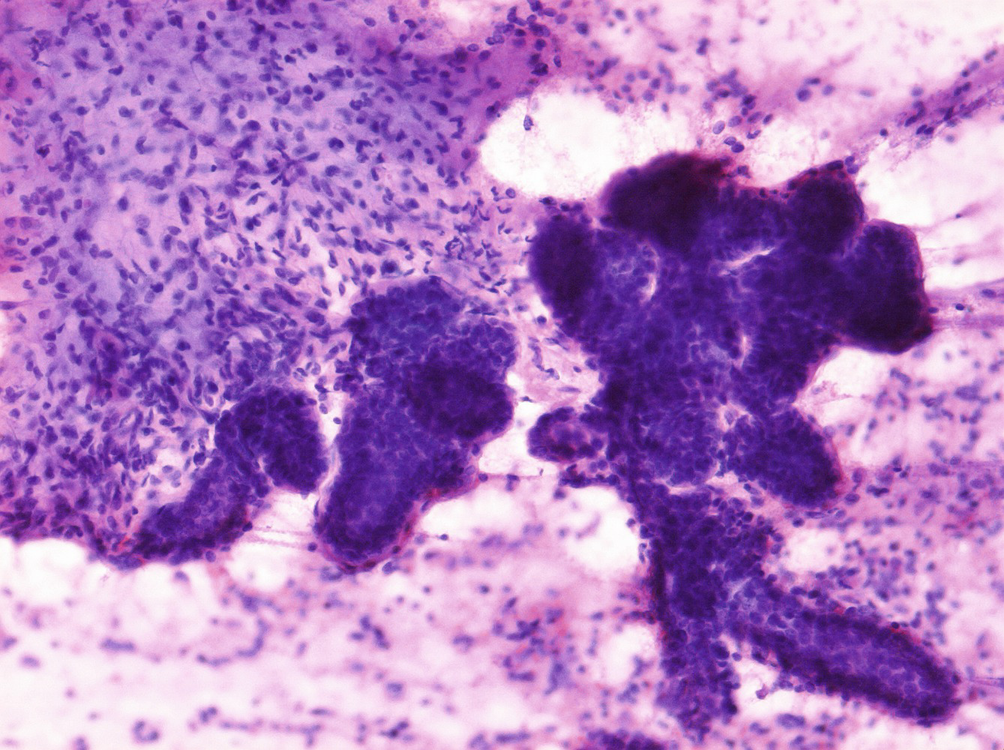
Histopathology And Cytopathology Of The Uterine Cervix Digital Atlas Ebook Download. Parabasal cells with nuclear enlargement irregular nuclear outlines with anisokaryosis and anisocytosis in a homogenous cell population. ἱστός histos tissue πάθος pathos suffering and λογία logia study of refers to the microscopic examination of tissue in order to study the manifestations of diseasespecifically in clinical medicine histopathology refers to the examination of a biopsy or surgical specimen by a pathologist after the specimen has been.

Reporting Salivary Gland Cytopathology Cap Today 512018 - Reporting Salivary Gland Cytopathology Cap Today 512018

Colposcopy The Color Atlas And Synopsis Of Family Medicine - Colposcopy The Color Atlas And Synopsis Of Family Medicine

Female Reproductive System Histology - Female Reproductive System Histology

Introduction Springerlink - Introduction Springerlink

Color Atlas Of Cytology Histology And Microscopic Anatomy - Color Atlas Of Cytology Histology And Microscopic Anatomy

Laboratory Services - Laboratory Services

Pdf The Virtual Slide In The Promotion Of Cytologic And - Pdf The Virtual Slide In The Promotion Of Cytologic And

Histopathology Reporting In Cervical Screening An - Histopathology Reporting In Cervical Screening An

Cytopathology Of The Uterine Cervix Digital Atlas - Cytopathology Of The Uterine Cervix Digital Atlas

The Cervix Colposcopy Of The Uterine Cervix - The Cervix Colposcopy Of The Uterine Cervix

Title Page - Title Page

Color Atlas Of Cytology Histology And Microscopic Anatomy - Color Atlas Of Cytology Histology And Microscopic Anatomy

Cytosleuth Quiz - Cytosleuth Quiz

Pdf Diagnostic Reproducibility On Whole Digital Slide In - Pdf Diagnostic Reproducibility On Whole Digital Slide In

Tissue Microarrays Chapter 7 Molecular Pathology - Tissue Microarrays Chapter 7 Molecular Pathology

Histopathology And Cytopathology Of The Uterine Cervix Digital Atlas Book Pdf

Download Histopathology And Cytopathology Of The Uterine Cervix Digital Atlas - Pdf Free
4/ 5
Oleh